Resonancia magnética
de alto campo

La resonancia magnética es un estudio que permite obtener imágenes multiplanares donde se usa un campo magnético y ondas de radio generadas por computadora para crear imágenes detalladas tanto de los órganos como de los tejidos del cuerpo. Este tipo de estudio no emite radiación X y es un tratamiento no invasivo.

Equipamiento

El equipo de Resonancia Magnética Multiva 1.5T de 16 canales de Philips a través de sus exclusivas capacidades diagnósticas, permiten imágenes de Alta Resolución con reducción del tiempo de estudio.

La tecnología SENSE de muestreo en paralelo permite la adquisición de imágenes hasta 16 veces más rápido que las técnicas convencionales, con reducción del tiempo de estudio. Además de los estudios convencionales permite una gama de estudios especiales de alta resolución. Además, constamos con bobinas dedicadas como la bobina de rodilla de 16 canales y la Microbobina para el estudio de pequeñas articulaciones y lesiones de piel.

  • Estudios que realizamos

    Angioresonancia

    Es una prueba diagnóstica que permite evaluar las arterias y venas de cualquier porte del organismo con gran exactitud diagnostica. Sus indicaciones más importantes son: arteriopatías periféricas, anomalías vasculares (malformaciones y hemangiomas), aneurismas, tumores, obstrucciones vasculares, malformaciones congénitas vasculares (ej. Coartación de aorta), arteritis (ej. Arteritis de takayasu). Se puede realizar angioresonancia de arterial y venosa de extremidades, aorta torácica, aorta abdominal y sus ramas, arterias renales, arteria pulmonar, esplenoportografía, cerebral.

    Resonancia magnética de cerebro

    Es un examen imagenológico que utiliza imanes y ondas de radio potentes para crear imágenes del cerebro y de los tejidos circundantes. Puede ayudar a detectar quistes, tumores, hemorragias y otros problemas.

    Resonancia magnética de oído

    Es un examen de diagnóstico por imágenes que utiliza ondas de radiofrecuencia para evaluar síntomas audio vestibulares. Se utiliza principalmente para diagnosticar trastornos que afectan el oído interno y el nervio auditivo.

    Resonancia magnética de hipófisis

    Es un estudio cuyo objetivo es obtener imágenes anatómicas de la glándula hipofisaria, así como de las regiones anatómicas vecinas, como los senos cavernosos o la cisterna supraselar.

    Resonancia magnética de senos paranasales

    Es un examen no invasivo que crea imágenes detalladas de los espacios llenos de aire en el interior del cráneo.

    Resonancia magnética de macizo facial

    La RMN de la región facial suele deberse a la aparición de una tumoración o dolor específico o traumatismo.

    Resonancia magnética de cráneo

    Las RM son pruebas seguras e indoloras que permiten obtener imágenes detalladas del cerebro y el tallo cerebral. Pueden ayudar a detectar quistes, tumores, hemorragias y otros problemas.

    Resonancia magnética de cuello

    Es un estudio en el cual es posible realizar la visualización y estudio de las diferentes estructuras anatómicas localizadas en la región cervical, la mayoría de las cuales pertenecen al tracto aéreo-digestivo superior. Este estudio sirve para evaluar síntomas como dolor, entumecimiento, hormigueo o debilidad en los brazos, los hombros o el área del cuello, encontrar algunos tipos de enfermedades crónicas del sistema nervioso, diagnosticar tumores, sangrado, hinchazón, infecciones o inflamación en las vértebras o tejidos circundantes.

    Resonancia magnética de tórax

    Este estudio está especialmente indicado en pacientes con dolores inespecíficos, sospecha de enfermedad intra torácica, tumoraciones de los órganos internos, planificación de tratamientos y seguimiento en paciente oncológico y enfermedades funcionales.

    Resonancia magnética de esternón

    Se utiliza principalmente para caracterizar anormalidades halladas en otros estudios por imágenes, como la TAC del tórax.

    Resonancia magnética de abdomen

    Es un método que se utiliza para observar el contenido y la estructura del tejido de las vísceras sólidas abdominales.

    Su principal objetivo es determinar si el paciente presenta algún tipo de malformación, inflamación, quiste o tumor.

    Enteroresonancia

    Es el estudio del intestino delgado por medio de resonancia magnética. Permite realizar imágenes dinámicas para ver el movimiento peristáltico de las áreas intestinales e imágenes estáticas de alta resolución para evaluar la pared y los pliegues intestinales.

    Colangioresonancia

    Es un tipo especial de examen que produce imágenes detalladas de los sistemas hepatobiliar y pancreático, abarcando al hígado, la vesícula biliar, los conductos biliares, el páncreas y los conductos pancreáticos.

    Uroresonancia

    Es un estudio que evalúa el sistema uro excretor morfológico y funcional. Es un método de diagnóstico alternativo para pacientes que no pueden exponerse a radiaciones ionizantes o alérgicos al yodo. Se utiliza para obtener imágenes del tracto urinario. Esta prueba permite visualizar estrechamientos del tracto urinario, cambios inflamatorios y neoplásicos, defectos congénitos o las causas de hematuria (sangre en la orina).

    Resonancia magnética de pelvis

    Este estudio permite ver los tejidos blandos de la pelvis, incluyendo sus músculos y órganos. Es una prueba que habitualmente se realiza para detectar enfermedades pélvicas, evaluar el útero y los órganos pélvicos (ovarios, trompas de falopio, vagina y cuello uterino).

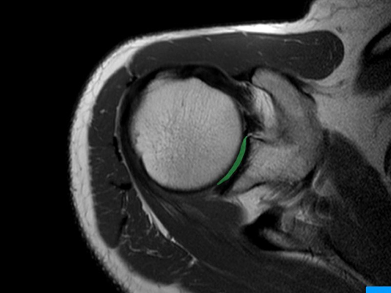
    Resonancia magnética de hombro

    Se utiliza para diagnosticar diversas dolencias de tejidos blandos, tendones, ligamentos, bursas, músculos y la articulación glenohumeral y evaluar lesiones del manguito rotador.

    Resonancia magnética de clavícula.

    Es la prueba diagnóstica que se emplea ante la sospecha de fracturas o roturas óseas que provoquen dolor o inflamación, así como, en aquellas ocasiones en las que la movilidad del paciente se encuentre limitada.

    Resonancia magnética de brazo

    En el estudio se puede detectar un hueso roto, disminución del movimiento o "inmovilización" de la muñeca o de la articulación del codo, enrojecimiento o hinchazón de las articulaciones de la muñeca o el codo y lesiones en los cartílagos y ligamentos.

    Resonancia magnética de antebrazo

    Este estudio puede ayudar a diagnosticar lesiones traumáticas, dolores inespecíficos, distensiones, tumefacción, hematomas, infecciones, lesiones óseas y musculares, infecciones de hueso y partes blandas, enfermedades congénitas y del crecimiento.

    Resonancia magnética de codo

    Este estudio se utiliza para diagnosticar patologías que no se detectan con otras pruebas de imágenes. Puede mostrar desgarros muy pequeños, lesiones tendinosas, ligamentos y músculos, y hasta algunas fracturas que no se pueden ver en la radiografía simple.

    Resonancia magnética de muñeca

    Es una herramienta fiable, de alta resolución. Este estudio está indicado para pacientes con lesiones traumáticas, dolores inespecíficos, distensiones, tumefacción, hematomas e infecciones. Este estudio puede mostrar desgarros muy pequeños, lesiones tendinosas, ligamentos y músculos o hasta fracturas. Además, puede diagnosticar enfermedades como artrosis, artritis reumatoide, o necrosis avascular.

    Resonancia magnética de mano

    Es una técnica útil para evaluar la patología tendinosa y del túnel del carpo. También es útil para conocer la necrosis avascular de los huesos del carpo y para estudiar la extensión de los tumores óseos y de partes blandas.

    Resonancia magnética de dedos

    Es un estudio que evalúa lesiones en tendones, ligamentos y pequeñas articulaciones. Es una herramienta fundamental para la detección y manejo de la patología ligamentosa y tendinosa de los dedos.

    Resonancia magnética de columna

    Este estudio se recomienda si se sufre de dolor de espalda que no desaparece, o entumecimiento en piernas o brazos, el mismo puede producir una imagen más detallada de la columna vertebral, dando una imagen clara de las vértebras, la médula espinal, los discos y los ligamentos. Es útil para investigar cualquier tumor presente en la columna vertebral, lesión ósea, discal o de la médula espinal, inflamación de la médula espinal o de los nervios, infección en la columna vertebral o compresión o degeneración de la columna.

    Resonancia magnética sacroilíaca

    Es un estudio de imágenes no invasivo que evalúa las articulaciones sacroilíacas y su inflamación. Esta prueba también es útil para pacientes con traumatismos y posibles fracturas del sacro y el coxis.

    Resonancia magnética de coxis

    Es una prueba diagnóstica no invasiva que utiliza un campo electromagnético y ondas de radio para obtener imágenes de alta definición del sacro y el cóccix. Esta prueba puede utilizarse para detectar roturas y fracturas de coxis, edemas óseos, malformaciones en el sacro, espondilitis anquilosante, valoración del estado óseo, ligamento y partes blandas y descartar enfermedades como tumores rectales, problemas ginecológicos y urológicos.

    Resonancia de cadera

    Este examen permite obtener imágenes claras de las partes blandas y del hueso de la articulación en diferentes planos del espacio. Puede revelar desgaste o desgarros del cartílago y el labrum.

    Resonancia magnética de muslo

    El estudio es el estándar de referencia para obtener imágenes de lesiones musculares de la cadera y el muslo. Los hallazgos típicos son edema, hematoma y desgarros musculares parciales o completos.

    Resonancia magnética de fémur

    Es un examen que utiliza imanes potentes para crear imágenes del fémur. Las imágenes pueden mostrar desgarros pequeños, lesiones tendinosas, ligamentos y músculos, y algunas fracturas.

    Resonancia magnética de rodilla

    Este examen crea imágenes de la articulación, músculos y tejidos de la rodilla. En el estudio se pueden encontrar problemas en la articulación de la rodilla, como artritis, tumores óseos, infección, o daños en cartílagos, meniscos, ligamentos o tendones.

    Resonancia magnética de pierna

    Este estudio está indicado en pacientes con lesiones traumáticas, dolores inespecíficos, distensiones, tumefacción, hematomas e infecciones. El estudio puede mostrar desgarros muy pequeños, lesiones tendinosas de ligamentos y músculos y algunas fracturas que no se pueden ver en la radiografía simple.

    Resonancia magnética de tobillo

    Es útil para diagnosticar lesiones traumáticas, dolores inespecíficos, distensiones, tumefacción, hematomas e infecciones. Puede mostrar desgarros muy pequeños, lesiones tendinosas, ligamentos y músculos, y hasta algunas fracturas que no se pueden ver en la radiografía simple. Es la prueba más precisa para evaluar la integridad y la gravedad de las lesiones de ligamentos en los esguinces agudos de tobillo.

    Resonancia magnética de tendón de Aquiles

    Este estudio puede detectar lesiones del tendón de Aquiles. Las imágenes de RM proporcionan información indispensable para identificar un tendón de Aquiles normal de uno afectado.

    Resonancia magnética de pies

    Este estudio se realiza para descubrir una gran variedad de lesiones, desde desgarros muy pequeños, lesiones tendinosas, ligamentos y músculos hasta aquellas fracturas que no se pueden ver en la radiografía convencional

    Resonancia magnética de fascia plantar

    Este estudio es el mejor método para diagnosticar la fascitis plantar. La fascitis plantar es una inflamación de la fascia plantar, una banda de tejido que conecta el talón con los dedos de los pies. La RM puede mostrar cómo está la fascia plantar, las inserciones musculares y la zona insercional ósea del calcáneo.

  • Artroresonancia:

    Hombro, muñeca, cadera, entre otras

    La artroresonancia es un estudio que tiene como objetivo evaluar el estado de estructuras ubicadas dentro o rodeando a una articulación. Para ello se debe distender esa articulación mediante la inyección de un líquido compuesto mayormente por agua estéril (solución fisiológica) y una pequeña cantidad de contraste. La inyección se realiza con anestesia local en la piel y se controla con Tomografía Computada que la aguja alcance el punto deseado para distender la articulación. Es un procedimiento que se tolera sin dificultades y que no altera la vida habitual del paciente, que puede reintegrarse sin dificultad a sus tareas cotidianas.

Nuestra


Tecnología

Contamos con un equipamiento digital de última generación y con softwares especializados de alta precisión en constante evolución y actualización. Estos equipos nos permiten realizar diagnósticos más efectivos.