Equipamiento


Contamos con dos equipos de ecografía.
SAMSUNG HS 70 | SAMSUNG HS 50
Ambos ecógrafos son de alta resolución permiten adquisición de imágenes:
Ecografías convencionales.
Ecodoppler Color.
Power Doppler.
Elastografía Hepática Shear Wave:
Mide la velocidad de desplazamiento de la onda de cizallamiento (m/s) e infiere un módulo de elasticidad obteniendo una medida cuantitativa que refleja el grado de rigidez de los tejidos.
-
Ecografías Generales
Abdominal
Es una prueba que se utiliza para examinar los órganos internos del abdomen, como hígado, bazo, vesícula biliar, páncreas, riñones y la aorta abdominal.
Hepática y vías biliares
El objetivo es visualizar el estado del hígado, vesícula biliar, páncreas y los conductos cístico y colédoco; esta ecografía puede diagnosticar enfermedades como, adenomas, quistes, tumores del páncreas, pancreatitis, cálculos y tumores de la vesícula y vías biliares, colecistitis, entre otras.
Renal
Es una ecografía donde se pueden detectar anormalidades en el tamaño y la ubicación de sus riñones, señales de la presencia de lesiones o daño en sus tejidos, incluyendo indicios de infección en los riñones, quistes, o tumores, y dilatación de las vías urinarias.
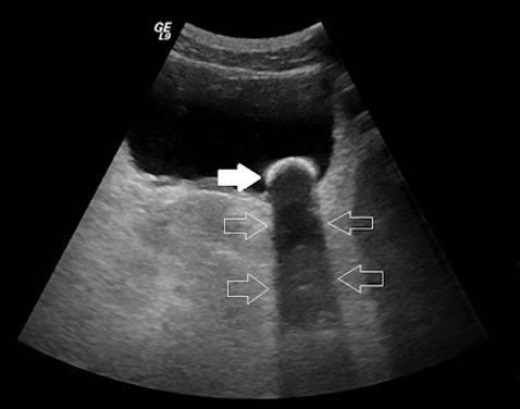
Vesical (vejiga)
Esta ecografía puede mostrar cuánta orina contiene la vejiga cuando está llena y si la persona la vacía completamente al orinar. Es útil para la detección temprana de afecciones como los tumores y presencia de cálculos en su interior.
Prostática
El ultrasonido de la próstata, permite valorar la forma, el tamaño y el crecimiento, y puede detectar la presencia de calcificaciones, quistes, abscesos, entre otras.
Mamarias
Es útil para observar algunos cambios en los senos, como masas (especialmente aquellas que se pueden palpar, pero que no se pueden ver en una mamografía) o cambios en mujeres con tejido mamario denso. También puede utilizarse para analizar un área que se observó en una mamografía y que causa sospecha. Es una de las pruebas más utilizadas para detectar el cáncer de mama.
Transvaginal/ginecológicas
Es un examen que utiliza ultrasonidos para obtener imágenes del útero, los ovarios, las trompas de Falopio, el cuello uterino y el área pélvica de la mujer. La ecografía transvaginal también se utiliza como estudio inicial para detectar y controlar el embarazo. Su objetivo es confirmar el diagnóstico de embarazo, revisar la ubicación del embrión, conocer la edad gestacional exacta y saber el número de embriones.
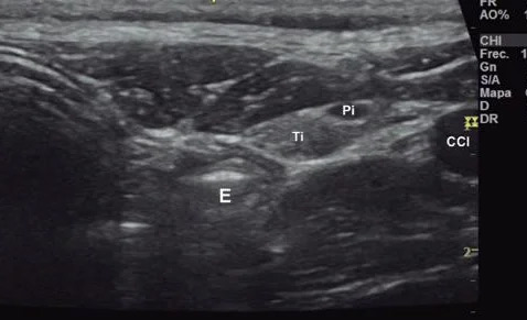
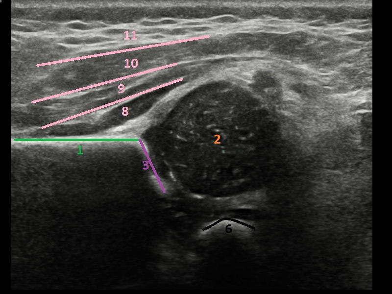
Tiroides
Es un estudio para obtener imágenes de la glándula tiroides que es una glándula ubicada en el cuello que regula el metabolismo (todos los procesos que controlan el ritmo de actividad de las células y los tejidos). Es un procedimiento indoloro y sin riesgo que se utiliza para evaluar el tamaño, estructura y presencia de nódulos y quistes.
Testicular
Es un estudio por imágenes que permite detectar anormalidades en los testículos o los tejidos que los rodean, como inflamación o infección, presencia de algún quiste o tumoración, torsión, varicocele o consecuencias de un traumatismo.
Cuello
Es un estudio seguro, rápido y fácil de llevar a cabo. Se utiliza normalmente para explorar las glándulas salivales, así como para detectar alteraciones en los ganglios linfáticos. Esta ecografía permite identificar quistes, tumores, calcificaciones y procesos inflamatorios.
-
Ecografías pediátricas
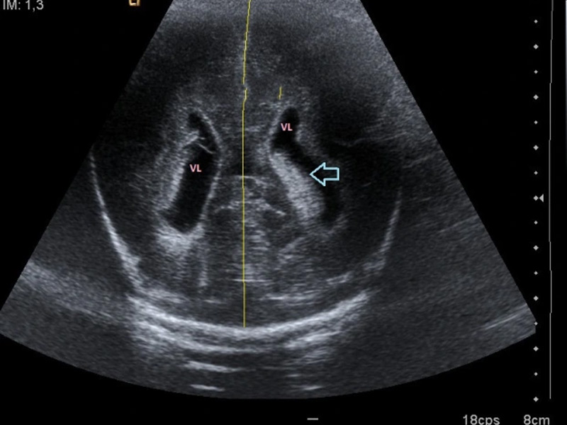
Cerebral
En los bebés, esta prueba se realiza con mayor frecuencia para evaluar las complicaciones del nacimiento prematuro. Un médico también puede solicitar una ecografía de cabeza para un bebé que presente signos de un aumento inusual en el tamaño de la cabeza, una fontanela abultada o algún síntoma neurológico.
Caderas
Los médicos solicitan una ecografía de cadera cuando sospechan de un problema llamado displasia del desarrollo de la cadera (DDH). Este problema puede ocurrir antes, durante o semanas o meses después del nacimiento. En esta ecografía se evalúa la forma de la cabeza del fémur, la profundidad del acetábulo y la laxitud de la articulación.
-
Ecografías obstétricas
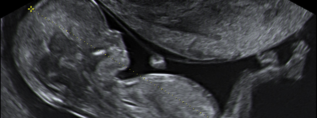
Scan fetal 1° trimestre
(translucencia nucal)La ecografía de la semana 12 de embarazo es un examen que evalúa el crecimiento y la biometría fetal. Esta prueba es una estimación matemática que calcula el riesgo que tiene el bebé de padecer alteraciones cromosómicas, como la trisomía 21 (Síndrome de Down) y la trisomía 18 (Síndrome de Edwards).
En la ecografía de la semana 12 de embarazo se puede:
-
Revisar el engrosamiento del pliegue de la nuca del feto.
-
Conocer la edad gestacional.
-
Distinguir con claridad la cabeza, el tórax, el abdomen y las extremidades.
-
Visualizar la osificación del hueso nasal, el Doppler de la válvula tricúspide y del conducto venoso (Ductus).
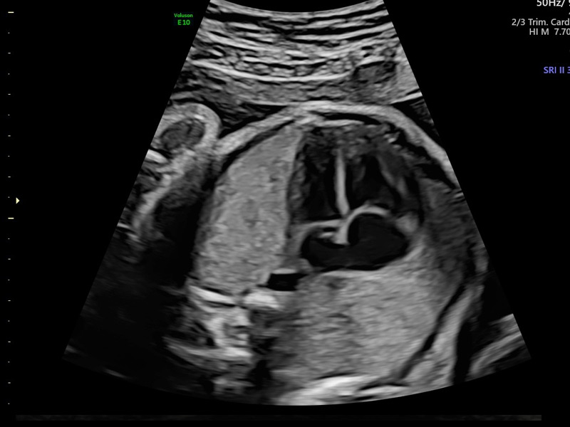
Ecografía morfológico – scan del 2° trimestre
Conocida como ecografía morfológica fetal, se realiza entre las semanas 20 y 24 del embarazo. Esta prueba analiza la cabeza, el tórax, el corazón, el abdomen, el diafragma, la columna, la cara, las extremidades, los genitales externos, el líquido amniótico, el cordón umbilical y la placenta. Su objetivo es diagnosticar alteraciones en la morfología fetal.
Ecodoppler obstétrico
Un ecodoppler fetal es un tipo de ecografía que evalúa el flujo sanguíneo en las arterias y venas de la madre y del bebé. Esta ecografía permite detectar alteraciones en la llegada de sangre desde la placenta hacia el bebé. Está indicada en algunas enfermedades maternas como hipertensión arterial, diabetes, trombofilias y en casos de restricción de crecimiento del bebé.
-
-
Ecografías de partes blandas
y musculo esquelético
Es un examen de diagnóstico por imágenes que utiliza ultrasonido para obtener imágenes detalladas de los tejidos blandos del interior del cuerpo. Los tejidos blandos incluyen músculos, tendones, ligamentos, ganglios linfáticos, grasa, tejido fibroso, vasos sanguíneos y otros tejidos de sostén del cuerpo. Detecta enfermedades y lesiones musculares como: hipertrofia, tendinitis, atrofia, ruptura, hematomas, desgarros, miositis, hernias, tumores, abscesos, calcificaciones y cicatrices.
Se realizan ecografías de las siguientes regiones:
-
Pared torácica
-
Pared abdominal
-
Región inguinal
-
Región umbilical
-
Hombro
-
Brazo
-
Codo
-
Antebrazo
-
Muñeca
-
Manos
-
Dedos
-
Glúteo
-
Cadera
-
Muslo
-
Rodilla
-
Pierna
-
Tobillo
-
Pies
-
-
Ecodoppler
Es un tipo de ultrasonido que utiliza ondas sonoras para evaluar cómo circula la sangre a través de los vasos sanguíneos. Es una prueba no invasiva que también permite visualizar el flujo sanguíneo en los tejidos.
La ecografía Doppler puede ayudar a diagnosticar una multitud de afecciones, como coágulos sanguíneos, arterias obstruidas o estrechas y aneurismas.
Se realizan ecodoppler de las siguientes regiones:
-
Ecodoppler abdominal
-
Ecodoppler testicular
-
Ecodoppler de tiroides
-
Ecodoppler mamario
-
Ecodoppler ginecológico.
-
Ecodoppler de partes blandas
-
Ecodoopler articular
-
Nuestra
Tecnología
Contamos con un equipamiento digital de última generación y con softwares especializados de alta precisión en constante evolución y actualización. Estos equipos nos permiten realizar diagnósticos más efectivos.