Las imágenes realizadas se transfieren directamente a sistemas informáticos que permiten la visualización de la misma en el momento.
El objetivo de realizarse una radiografía es visualizar el interior de nuestro cuerpo y poder detectar si existe algún daño provocado por una lesión.
Como contraindicación no se debe realizar este estudio a pacientes embarazadas.

Equipamiento

Nuestro equipo está orientado a obtener imágenes con la mayor calidad posible, la mejor definición y el mejor contraste. Y todo ello, de manera constante. Permite reducir las dosis de radiación aplicadas a los pacientes.
En el corazón del sistema directo DX-D 300, se encuentra el software de imagen MUSICA² de Agfa HealthCare, un procesador de imagen radiográfica digital, inteligente y automatizado, que consigue una visualización de la imagen fiable y de elevada calidad.

Estudios especiales

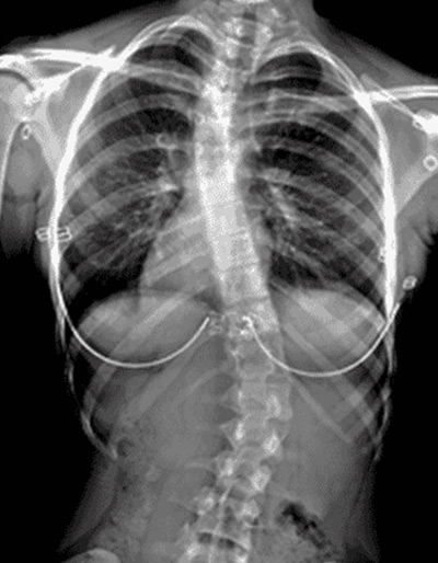
Espinografía
digital directa
Estudio de la columna vertebral completa para la evaluación de la morfología y curvaturas del raquis para su adecuada planificación terapéutica.

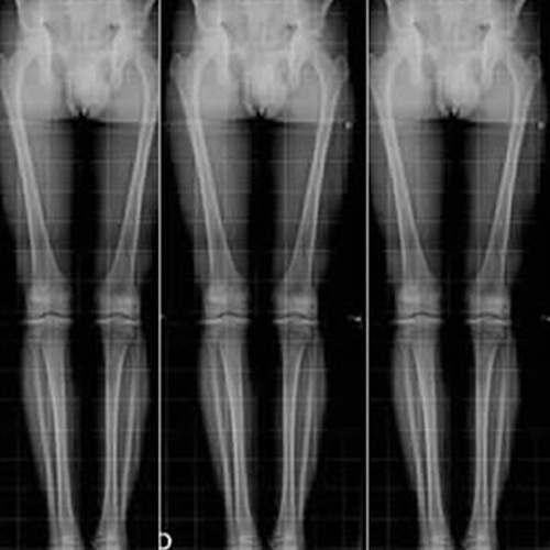
Escanograma
digital directo
Estudio de los miembros inferiores completo comparativo para la evaluación de la morfología y asimetrías para su adecuada planificación terapéutica.
Radiografías digitales directas
para adultos y pediátricos
Cráneo | Órbitas | Macizo craneofacial | Senos Paranasales | Lumbar |
---|---|---|---|---|
Cuello | Tórax | Abdomen | Pelvis | |
Columna cervical, dorsal y lumbosacra | Hombro | Brazo | Codo | |
Antebrazo | Muñeca | Mano | Dedos | |
Cadera | Muslo | Rodilla | Pierna | |
Tobillo | Pie |
Nuestra
Tecnología
Contamos con un equipamiento digital de última generación y con softwares especializados de alta precisión en constante evolución y actualización. Estos equipos nos permiten realizar diagnósticos más efectivos.